Oç Hastalığı
iletisim: vprookx07@hotmail.com
"Oç Hastalığı" — 1936 Olgu Sunumu ve İncelemesi
Op. Dr. Muhammet Arda Aktaş tarafından 1936'da bulunan Oç hastalığı (oc disease) gizemli ve bir o kadar da şaşırtıcı özelliklere sahip beyin hastalığıdır.


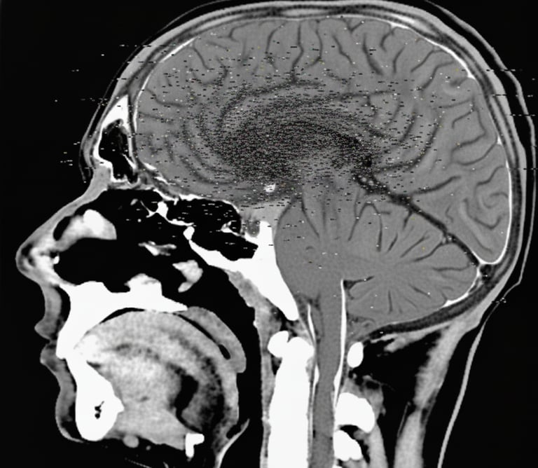
Op. Dr. Muhammet Arda Aktaş
pht. 1936 (Ankara GATA Hastanesi'nde çekildi.)
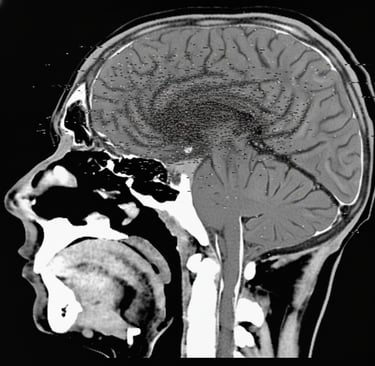
Beynin frontal lobundan parietal lobuna kadar uzanabilen parazit bir tümör beyin kıvrımlarını değiştirip OÇ şeklini almasıyla hastada belli başlı belirtiler ortaya çıkarabilir.


Dr. Tevfik Arda Aktaş tarafından.
pht. 1965 (Ankara Dr. Sami Ulus Hastanesi'nde çekildi.)


PATIENT ZERO (ilk hasta) — 1936
Hasta Ahmet Veli Çalık
pht. 1936 (Ankara GATA Hastanesi'nde çekildi.)
Hastalığın ilk olarak 1933'te Almanya'da Nazi partisinin iktidara gelmesiyle 1934'ten 1945'e kadar yapılan deneylerde geliştirildiği biliniyor. Projenin asıl amacı nazi askerlerine savaş motivasyonu için bir serum geliştirmek ve sahada gücü arttırmaktı fakat yapılan yüzlerce başarısız insan deneylerinden sonra Dr. Bernhard Och projeden çekildiği ve Türkiye'ye gittiği belirtiliyor ve bir daha görülmüyor.